Kolo-, Iliokoloskopie mit Polypektomie,
Dekompression des Kolons,
endoskopische Aufweitung der Anastomosen
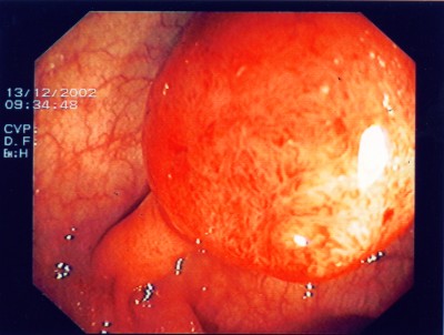
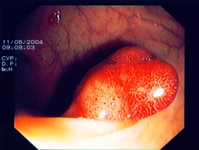
Großer Polyp des Dickdarmes
Großer Polyp des Dickdarmes
Polypabtragungsstelle
Polypabtragungsstelle
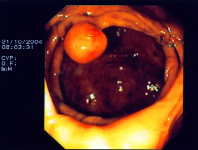
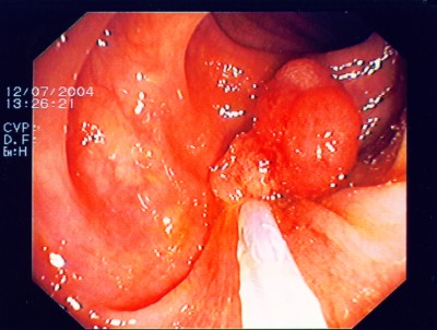
Großer Polyp des Dickdarmes
Großer Polyp des Dickdarmes
Polypabtragungsstelle
Polypabtragungsstelle
Gut sichtbarer Blutstrahl nach Abtragung eines Polypen
Gut sichtbarer Blutstrahl nach Abtragung eines Polypen
Sichere Blutstillung durch einen Metallclip
Sichere Blutstillung durch einen Metallclip
Noch gutartiges Gebilde des Mastdarmes mit schweren Zell- veränderungen. Hier ist eine den Schließmuskel erhaltende Operation möglich - transanale mikroskopische Tumorentfernung (TEM).
Noch gutartiges Gebilde des Mastdarmes mit schweren Zell- veränderungen. Hier ist eine den Schließmuskel erhaltende Operation möglich - transanale mikroskopische Tumorentfernung (TEM).
Nach einem speziellen kombinierten Manöver (laparaskopisch gestützte Koloskopie - gleichzeitige Bauch- und Darmspiegelung), gelingt es, den Polyp weit im Gesunden mit einem speziellen Klammernahtgerät zu entfernen, wobei die hier abgebildete Klammernahtreihe zurück bleibt. Der Eingriff erfolgt - wie gesagt - in so genannter Schlüssellochtechnik, aber auch mit unterstützender Darmspiegelung.
Nach einem speziellen kombinierten Manöver (laparaskopisch gestützte Koloskopie - gleichzeitige Bauch- und Darmspiegelung), gelingt es, den Polyp weit im Gesunden mit einem speziellen Klammernahtgerät zu entfernen, wobei die hier abgebildete Klammernahtreihe zurück bleibt. Der Eingriff erfolgt - wie gesagt - in so genannter Schlüssellochtechnik, aber auch mit unterstützender Darmspiegelung.
Wie bei den Abbildungen 28 und 30 handelt es sich um einen breitbasigen, relativ flachen, noch nicht entarteten Polyp, der sich mit einer Schlinge nicht vollständig abtragen ließe.
Wie bei den Abbildungen 28 und 30 handelt es sich um einen breitbasigen, relativ flachen, noch nicht entarteten Polyp, der sich mit einer Schlinge nicht vollständig abtragen ließe.
Wie bei den Abbildungen 29 und 31 erfolgt hier nach einem speziellen kombinierten Manöver (laparasko typisch gestützte Koloskopie - gleichzeitige Bauch- und Darmspiegelung), Entfernung des Polypen weit im Gesunden mit einem speziellen Klammernahtgerät. Die hier gut abgebildete Klammernahtreihe bleibt zurück. Der Eingriff erfolgt - wie gesagt - in so genannter Schlüssellochtechnik, aber auch mit unterstützender Darmspiegelung.
Wie bei den Abbildungen 29 und 31 erfolgt hier nach einem speziellen kombinierten Manöver (laparasko typisch gestützte Koloskopie - gleichzeitige Bauch- und Darmspiegelung), Entfernung des Polypen weit im Gesunden mit einem speziellen Klammernahtgerät. Die hier gut abgebildete Klammernahtreihe bleibt zurück. Der Eingriff erfolgt - wie gesagt - in so genannter Schlüssellochtechnik, aber auch mit unterstützender Darmspiegelung.